SELFMADE 福井店のブログ
【福井店blog】清潔感は白い歯から!垢抜けしませんか😊
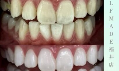
こんにちは。 セルフメイド福井店です😊 写真はセルフメイドの 歯科医提携ディープホワイトニングの12回施術後の写真です。 12回施術後は、はっきりと白くなってい…
【福井店blog】しっかり白くしたいなら!セルフメイドの医療提携ホワイトニングがおすすめ!✨
こんにちは。 セルフメイド福井店です。 最近、セルフホワイトニングを始められる方が 増えてきて嬉しく思います😊 セルフメイドでは、 美容ホワイトニングと医療ホワ…
【福井店blog】春に向けて歯を白く!清潔感を上げて第一印象を変えてみませんか?☺️
こんにちは。 セルフメイド福井店です😊 写真はセルフメイドの 歯科医提携ディープホワイトニングの12回施術後の写真です。 12回施術後は、はっきりと白くなってい…
【福井店blog】日常のオーラルケア!歯ブラシ選びも重要!
こんにちは。 セルフメイド福井店です🌤️ 歯をキレイに保つためには、 定期的なホワイトニングも大事ですが、 日常的な歯磨きでケアをすることも大切です。 そこで重…
【福井店blog】歯を白くして日常のモチベーション上げていきませんか😊
こんにちは。 セルフメイド福井店です😊 写真はセルフメイドの 歯科医提携ディープホワイトニングの12回施術後の写真です。 12回施術後は、はっきりと白くなってい…
【福井店blog】白い歯で春を迎えませんか?セルフメイドの医療提携ホワイトニングがおすすめ✨
こんにちは。 セルフメイド福井店です😊 日中は、だんだんと暖かくなり過ごしやすくいい季節になってきそうですね🌸 花粉が飛び始めているので、肌荒れ、鼻炎、喉頭炎な…
【福井店blog】虫歯とホワイトニングの関係性💁🏻♀️デンタルIQを上げていきましょう!
こんにちは。 セルフメイド福井店です😊 ホワイトニングしたいけど、 虫歯があるとできないの?と お悩みの方がよくいらっしゃいます。 ホワイトニングは、基本的に …
【福井店blog】セルフメイド福井店の歯科医提携ディープホワイトニングで白い歯になりませんか😊
おはようございます。 セルフメイド福井店です😊 写真はセルフメイド歯科医提携ディープホワイトニングの10回施術後の写真です。 10回施術後ははっきりと白くなって…
【福井店blog】本気で歯を白くするなら医療ホワイトニングがオススメ☺️
こんにちは。 セルフメイド福井店です。 気温が暖かくなってきましたね☺️ 風邪に気をつけて過ごしましょう♪ 歯を本気で白くされたい方! 市販のホワイトニング効果…
ご予約はこちらから
営業時間 10:00~21:00(最終受付20:00まで)
コース内容によっては、20:00以降もお受けできる場合があります。
お電話、LINE等でお問い合わせください。
福井店


こんにちは。 セルフメイド福井店です。 最近、セルフメイドでも人気の歯のホワイトニング☝️ セルフメイドでは、 歯科医提携の医療ホワイトニングを取り扱っています…