SELFMADE 福井店のブログ
【福井店blog】自分を大切にできていますか?😊
こんにちは。 セルフメイド福井店です(^^)/ 春になって歯のホワイトニングを始められる方が、 増えてきています。 歯を白くして、あなたらしく。 歯を白くする。…
【福井店blog】SHR脱毛の効果的、効率的なオススメの通い方✨
こんにちは。 セルフメイド福井店です(^^)/ 本日はSHR脱毛の効率的で、 オススメの通い方についてまとめてみました。 セルフメイド福井店で採用している 【S…
【福井店blog】セルフメイド脱毛でポツポツ毛穴対策!
こんにちは。 セルフメイド福井店です。 暖かくなり、肌の露出も増えてきそうですね。 そんな時、気になるのがポツポツ毛穴。 写真は、12回施術後のお肌の状態です。…
【福井店blog】完全個室!周りの目を気にせずホワイトニング😊
こんばんは。 SELFMADE福井店です(^^)/ SELFMADE福井店にはホワイトニング部屋が1つ。 写真の右奥がホワイトニング部屋となります。 完全個室と…
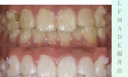
【福井店blog】医療ホワイトニングは、口腔環境改善にも有効🙆🏻♀️
こんにちは。 セルフメイド福井店です(^^) 本日もたくさんのご予約ありがとうございます、 医療ホワイトニングは、口腔環境改善にも有効なんです^ ^ 薬剤の副次…
【福井店blog】白い歯は第一印象を変える😎
こんにちは。 セルフメイド福井店です。 本日も10:00〜21:00まで営業しております(^^)/ 当日来店もご対応可能ですので、お気軽にご利用ください。 ホワ…
【福井店blog】脱毛は計画的に!次回予約をすることで効率よく脱毛!
こんにちは。 セルフメイド福井店です(^^) 今日は久しぶりに天気が悪いですね。 気温も下がっていますので、 体調を崩さないように気をつけましょう! 体調不良の…
【福井店blog】春夏も乾燥に注意!脱毛中は特に肌の水分量が少なくなります😭
こんにちは。 セルフメイド福井店です(^^) 昨日は、暑かったですね〜 春もすぐ終わって一気に暑くなってきそうな予感。 脱毛施術後、数日間は、肌の水分が不足しま…
【福井店blog】ヒゲによる肌荒れ、カミソリ負け悩みありませんか?セルフ脱毛で解決しましょう🙌🏼
こんにちは(^^) セルフメイド福井店です。 男性1番人気のヒゲ脱毛! ヒゲを脱毛することで、 清潔感UP! アンチエイジング! 肌質の改善! とたくさんのメリ…
ご予約はこちらから
営業時間 10:00~21:00(最終受付20:00まで)
コース内容によっては、20:00以降もお受けできる場合があります。
お電話、LINE等でお問い合わせください。
福井店


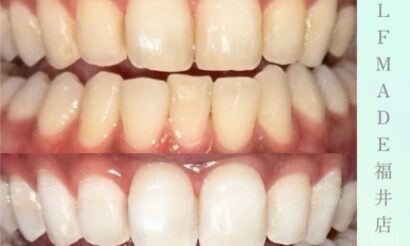
こんにちは。 セルフメイド福井店です(^^) 写真はセルフメイドの 歯科医提携ディープホワイトニングの12回施術後の写真です。 12回施術後は、はっきりと白くな…